2021-10-131820
含氟飲用水現狀
地下水是水資源的重要組成部分,是人類生存和生產活動必不可少的寶貴自然資源。但是地下水一般情況下存在著有害物質超標的問題,如氟化物、鐵錳等。氟化物在地表水中的濃度一般較低,多在痕量級,而地下水的濃度較高。
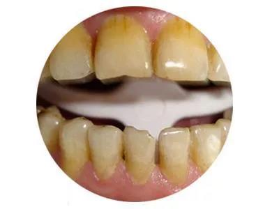
氟是人體生命活動不可缺少的微量元素,人體中氟的主要來源途徑是飲水,低濃度的氟能保護牙齒、預防齲齒以及促進骨骼的發育成長,但是長期飲用含有高濃度氟的水會導致氟斑牙和氟骨癥等疾病。

氟化物對人體健康有一定的影響,成人每日約攝入1~1.5mg氟,過量攝入則會影響健康。可溶性氟化物吸收速度快,氟與鈣有極強的親合力,體內的氟90%以上積蓄于骨骼、牙齒等鈣化組織中。
短時間攝入大劑量可溶性氟化物,能引起急性中毒。慢性氟中毒是由氟在骨質中沉積造成的,稱之為氟骨病,表現為骨變厚,韌性降低,表面粗糙、骨腔縮小,并伴有多發性外生骨贅,使關節活動受阻。嚴重者因韌帶鈣化使肢體變形,易發生骨折。氟與牙齒中鈣質結合,沉積于齒面上,使牙面琺瑯質失去光澤、牙質脆弱易磨損,兒童成長期間牙齒對氟尤為敏感。因此通過地下水凈化去除氟化物,對于健康飲水具有極強的現實意義。
Tulsimer?CH-32具有極強的氟化物去除能力,可以把地下水中的氟化物控制在安全飲用的標準之內。

除氟工藝介紹
多年來,飲用水除氟一般采用反滲透法、鋁鹽沉淀、電凝聚法、吸附法和離子樹脂交換法等,活性氧化鋁去除效果不錯,但是需要對原水的PH值進行調節,PH值控制在6.5才能發揮活性氧化鋁的作用,但是原水的PH值是一直在不斷變化的,所以很多處理裝置運行很不穩定,活性氧化鋁在原水PH弱酸性時會釋放出大量鋁離子,造成鋁超標的問題,鋁中毒會導致人的神經系統損壞。
反滲透膜法也可以達到氟化物的去除效果,可以在去除氟化物的同時,把水中的其它指標也降除,廢水產量也特別大,設備投資造價高,運行成本也高。
Tulsimer?CH-32樹脂除氟沒有有害物質的引入,氟化物的去除效果完全能夠達到飲用水的含量標準。
CH-32在飲用水、地下水除氟方面等方面有巨大的優勢,主要表現為以下幾點:
1、選擇吸附性單一:樹脂官能團特殊結構針對氟離子具有專一選擇吸附性。
2、穩定高效:出水氟離子濃度可低至1mg/L以下,工作運行時間內未檢出氟化物。
3、經濟可靠:樹脂吸附飽和再生之后交換容量穩定,可重復使用,設備運行能耗低。
4、運行操作、維護簡便:自動化程度高,可選擇自動/手動控制通水及再生過程。
5、設備規格眾多:根據水量設計不同規格設備,輕松應對不同水量。
6、節省空間:設備占地面積小。CH-32本身具有活性,不需要經過預處理就可以使用,而且再生的過程中不會引入有害物質,優勢更加明顯。
除氟樹脂Tulsimer? CH-32 介紹
簡要介紹
Tulsimer? CH-32是一款聚苯乙烯架構的強堿型陰離子交換樹脂,它是為適應于氟化物的去除而專門設計的,而且它的再生不需要明礬。
Tulsimer? CH-32 由于其本身的無裂紋性質而具有優良的物理特性。
Tulsimer? CH-32 適合于在廣泛的 PH 范圍內和溫度條件下使用。
Tulsimer? CH-32 的球面是無裂紋的,因此它表現出非常高的球強度。
Tulsimer? CH-32 出廠為氯型,因此可用氯化鈉替代明礬來再生樹脂。
Tulsimer? CH-32這種樹脂對氟離子的親和能力極強,而對如硫酸根、氯離子等陰離子的吸附變得更加困難,例如樹脂對硫酸鹽的吸附,在飲用水濃度,這種重新排序的親和關系也使氟化物比硫酸鹽具有更高的親和力,飲用水中氟化物選擇性樹脂的親和關系:
氟化物> 硫酸鹽> 氯化物> 碳酸氫鹽
基本特性

北京昌平地區除氟案例現場


科海思—美國杜笙Tulsimer授權中國區總代理,采用離子交換法幫助企業解決各類廢水處理難題。十年水處理行業經驗,量身定制精細化解決方案。詳詢:400-8388-151。